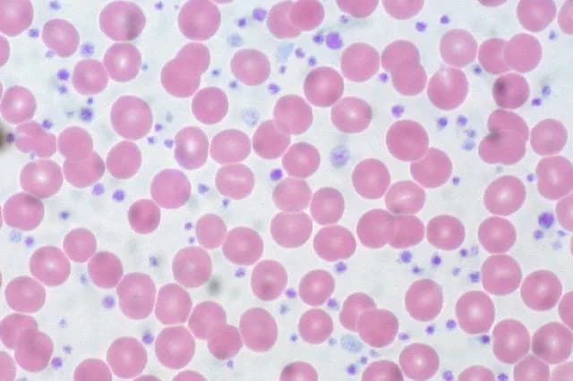
Podwyższony poziom płytek krwi: poznaj przyczyny i objawy nadpłytkowości
Poznaj podwyższony poziom płytek krwi, jego przyczyny oraz objawy nadpłytkowości. Dowiedz się, co powoduje zwiększoną liczbę płytek krwi i jak to leczyć.
Podwyższony poziom płytek krwi: poznaj przyczyny i objawy nadpłytkowości
Poznaj podwyższony poziom płytek krwi, jego przyczyny oraz objawy nadpłytkowości. Dowiedz się, co powoduje zwiększoną liczbę płytek krwi i jak to leczyć.
Jakie leki na alergie skórne skutecznie łagodzą objawy i przynoszą ulgę?
Poznaj, jakie leki na alergie skórne skutecznie łagodzą objawy, takie jak świąd i wysypki. Sprawdź dostępne preparaty i ich działanie.
Jakie leki na wrzody bez recepty skutecznie łagodzą objawy i wspierają gojenie
Poznaj skuteczne leki na wrzody bez recepty, które łagodzą objawy i wspierają gojenie. Sprawdź, jak leczyć wrzody żołądka i poprawić swoje samopoczucie.
Jakie leki na brak owulacji skutecznie przywracają płodność?
Dowiedz się, jakie leki na brak owulacji skutecznie przywracają płodność. Poznaj metody stymulacji owulacji oraz leki dla kobiet z PCOS.
Aulin – skuteczny lek na ból i stany zapalne, poznaj jego działanie
Aulin to skuteczny lek na co pomaga w bólu i stanach zapalnych. Sprawdź jego działanie, dawkowanie i przeciwwskazania, aby stosować go bezpiecznie.
Podwyższony poziom PDW - przyczyny, skutki zdrowotne i interpretacja wyników
Podwyższony poziom PDW może wskazywać na poważne problemy zdrowotne. Poznaj przyczyny, skutki oraz interpretację wyników, aby zadbać o zdrowie płytek krwi.
Lek Debutir: na co jest skuteczny i jak wspiera zdrowie jelit
Poznaj lek Debutir: na co jest skuteczny i jak wspiera zdrowie jelit. Dowiedz się o składzie, działaniu, zastosowaniach i dawkowaniu tego suplementu diety.
Co można jeść przed badaniem glukozy, aby wyniki były wiarygodne?
Dowiedz się, co można jeść przed badaniem glukozy, aby wyniki były wiarygodne. Poznaj zasady diety i co pić przed badaniem krwi na czczo.
Jakie leki na brak wapnia pomogą w niedoborze wapnia i osteoporozie?
Poznaj leki na brak wapnia, które skutecznie wspierają w leczeniu hipokalcemii i osteoporozy. Dowiedz się, jak uzupełnić wapń i jakie mają objawy.
Co to MCH w badaniu krwi? Klucz do zdrowia i diagnozy hemoglobiny
Zrozumienie, co to MCH w badaniu krwi, jest kluczowe dla zdrowia. Poznaj znaczenie MCH, normy, interpretację wyników i przyczyny zmian.